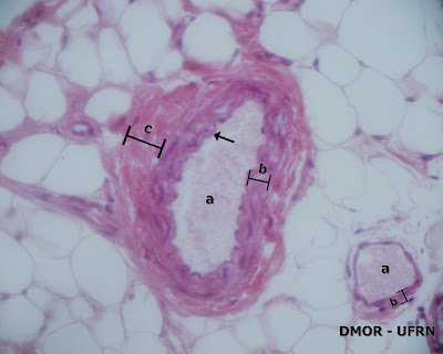
Veia de médio calibre e Vênula corte transversal. Coloração H&E. Aumento 400x.
a: Luz do vaso; b: Túnica média; c: Túnica adventícia; Seta: Túnica intima.
Esclareça suas dúvidas no http://www.formspring.me/cienciasmorfo
Nenhum comentário:
Postar um comentário
Esclareça suas dúvidas no http://www.formspring.me/cienciasmorfo