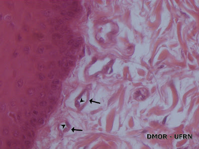
Capilares. Coloração H&E. Aumento 400x.
Seta: Capilar em corte transversal; Cabeça de seta: Núcleo da célula endotelial.
Esclareça suas dúvidas no http://www.formspring.me/cienciasmorfo
Nenhum comentário:
Postar um comentário
Esclareça suas dúvidas no http://www.formspring.me/cienciasmorfo